Introduzzjoni tal-Produzzjoni:
Fuljetti Feldspathic saru popolari mill-pazjenti għar-rekwiżiti ta 'preparazzjoni mhux invażivi tagħhom, u l-kapaċità tagħhom li jippermettu li l-ilwien tas-snien eżistenti jiddi.
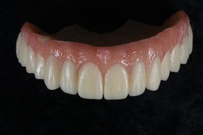
Din il-fuljetta maħduma bl-idejn hija maħluqa bl-art bl-użu ta 'pinzell u trab ibbażat fuq il-ħġieġ imħallat ma' likwidu. Biex tiffabbrika fuljetti feldspatiċi, l-idejn tat-tekniku jiżbgħu s-saff tal-fuljetta b'saff sabiex il-kontorn u n-nisġa jkunu jistgħu jiġu kkontrollati u maħduma.
It-tekniċi fiċ-Ċina Digital Lab għandhom l-esperjenza meħtieġa biex jagħmlu fuljetti estetiċi ħafna li jaqblu mal-ħtiġijiet u x-xewqat kożmetiċi ta 'kull pazjent. Il-fuljetti tagħna huma soluzzjonijiet kosmetiċi eċċellenti f'każijiet ta 'snien imlaqqax, ikkuluriti jew imqaxxra.
Parametru tal-Prodott
Personalizzat
Karatteristika tal-Prodott u Applikazzjoni
Fuljetti tal-porċellana Feldspathic huma restawr estetiku ħafna li huwa ideali għal restawr anterjuri fejn il-forma, in-nisġa u s-sbuħija naturali huma prijoritajiet.
VANTAĠĠI/BENEFIĊĊJI
● Preparazzjoni Minima (0.2mm-0.3mm)
● Estetika ħafna
● Mhux invażivi
● Trasluċidi
Dan l-istil tal-fabbrikazzjoni tal-fuljetta jista’ jkun rakkomandat għal pazjenti meta:
● Is-snien imtaqqab għad għandu ħafna mill-enamel tiegħu
● Il-pazjent ma jagħqadx snienhom
● Meta t-tqabbil tad-dell ikun diffiċli
● B'pazjenti estremament eżiġenti
Twassil, Tbaħħir u Servizz
Aħna naċċettaw fajls STL.
Aħna naċċettaw impressjonijiet normali, tista 'tibgħatilna minn Fedex, UPS, DHL jew Linex
Nispiċċaw ix-xogħlijiet fi 4-5 jiem ladarba nirċievu l-każijiet tiegħek
Aħna naċċettaw TT.Paypal


It-tags Popolari: Fuljetti tal-porċellana feldspatiċi
